Tongue-Tie Treatment in Cary and Raleigh NC
Introduction to Tongue-Ties
If you imagined that “tongue-tie” is just another expression in the English language alluding to an inability to speak, you are mistaken. Tongue-tie is a malformation with serious repercussions if left unattended. Discover more about tongue-tie treatment in Cary and Raleigh in the following paragraphs.
Understanding Tongue-Tie
Tongue-tie is a congenital disorder wherein a child’s tongue remains attached to the lower part of the mouth. This is because the thin tissue connecting the tongue with the lower part of the mouth is shorter than normal. This congenital disorder inhibits tongue mobility and can cause speech impairments and difficulties with breastfeeding.
The Reason Behind the Difficulty in Tongue Movement
When an embryo is growing and developing inside the womb, the tongue fuses with the bottom of the mouth. With time, the tongue separates from the bottom of the mouth. A thin cord of tissue called the frenulum joins the tongue to the lower part of the mouth. In children with tongue-tie, the receding of the frenulum does not happen as expected, so it remains short and restrictive. This can cause difficulty in tongue movement and some children may have problems with articulation.
Symptoms of Tongue-Tie
Ankyloglossia (tongue-tie) symptoms can range from mild to severe and may be described in categories based on where the tie is fused with the tongue. In some cases, tongue-tie is so mild that it does not cause any major problem.
You may find the following tongue-tie symptoms in a newborn:
- Trouble latching onto the nipple while breastfeeding
- Weak sucking pattern
- A clicking noise during breastfeeding
- Prolonged breastfeeding
- Always hungry
- Not able to gain weight
The following tongue-tie symptoms can be observed in older children:
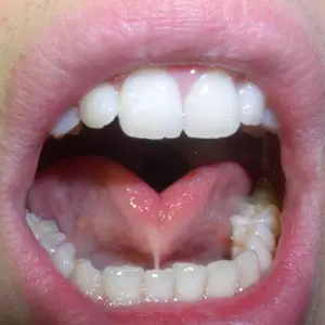
- Cannot extend the tongue out from the mouth
- Tongue cannot go past the lower front teeth
- Tongue forms a heart shape when stuck out
- Difficulty speaking
- Difficulty swallowing
- Cannot lick an ice cream
- Cannot play a wind instrument
Tongue-Tie Treatment Process in Cary and Raleigh, NC
Tongue-tie (ankyloglossia) in some children is not severe and may not have noticeable symptoms. No treatment is needed if the child does not have problems speaking, swallowing, or eating. If the problem is mild to severe, the clinician may advise a minor surgical procedure.
Frenectomy
One treatment option for tongue-tie is a procedure called a frenectomy. Dr Charles Ferzli at Smiles of Cary can carry out this minimally invasive procedure to release the restrictive band of tissue. Tongue-tie surgery in Cary and Raleigh NC helps by removing or releasing the tissue that limits tongue movement. This is typically a straightforward procedure that can be carried out using local anaesthesia.
The procedure is often well tolerated in newborns. Older children may require local anaesthesia and, in some cases, pain relief afterwards. Many infants or children improve naturally, but in severe cases, timely diagnosis and treatment are advisable.
Sucking exercises can help strengthen the tongue. In some cases, tongue-tie can improve on its own if the frenulum loosens over time. Otherwise, therapy or a minimal surgical procedure may be required for correction.
After surgery, you may be advised to attend a type of oral physical therapy called myofunctional therapy.
Myofunctional therapy may help with the following:
- Improving tongue function for more effective chewing and swallowing
- Supporting a proper tongue resting posture, which may help reduce unwanted dental problems and support facial aesthetics
- Supporting clearer speech as tongue strength and coordination improve
Preparation for Tongue-Tie Treatment in Cary and Raleigh, NC
Very little preparation is needed for this treatment. The key is keeping your child calm and comfortable before tongue-tie treatment in Cary and Raleigh takes place. A numbing medication may be applied to help keep your baby comfortable. If a laser is used, your clinician will explain whether any additional medication is required. Infants do not retain memories in the way older children do, so the likelihood of lasting distress is reduced.
You may want to prepare a list of questions beforehand and discuss them with your clinician in Raleigh, NC.
Some questions you may want to ask before the procedure include:
- Is treatment needed in this case?
- How severe is the tongue-tie?
- Should surgery be considered, or are there alternatives?
- Is anaesthesia necessary?
- What are the risks of the procedure?
- Will the procedure improve breastfeeding?
Post-treatment pain relief
After treatment, follow any advice about pain relief carefully. Discomfort is usually mild. If your clinician in Raleigh, NC has not advised a pain reliever, you can ask what is appropriate to have on hand to keep your child comfortable.
If not addressed, tongue-tie can contribute to feeding difficulties, poor weight gain, speech impairments, and challenges with certain foods. Ankyloglossia can also lead to weak sucking patterns. Gentle techniques (such as cheek support during feeding) may be suggested, but relying on professional guidance is recommended.
Conclusion
Tongue-tie should be assessed by an appropriate clinician to determine whether tongue-tie treatment in Cary and Raleigh NC is needed. If you spot this issue in your child, consider consulting pediatric dentist Dr Charles Ferzli at Smiles of Cary. Dr Charles Ferzli’s dental services are available in Cary and Raleigh NC. For more information call us at 919-439-6350 and schedule an appointment today for tongue-tie treatment.
When To Seek This Treatment

Persistent discomfort or pain

Functional or aesthetic concerns

Preventive care needs

Advised following clinical examination.
Goals Of Treatment
Restore Function
Improve comfort, bite stability, and oral performance.
Enhance Appearance
Support a confident, natural smile.
Protect Oral Health
Reduce the risk of long-term complications.
Ensure Comfort
Minimise discomfort during and after treatment.
Real Stories, Real Care
At Smiles of Cary, we understand how life-changing it can be to finally find relief from TMJ pain and sleep-related issues. Our patients’ journeys are the true measure of our work, and their stories reflect the care, compassion, and lasting results we strive to provide every day.
Ready to Take the Next Step?
Book your consultation today and explore personalised treatment options.
Frequently Asked Questions About Tongue-Tie Treatment in Cary and Raleigh NC
Tongue-Tie is one of the specialised services we provide, focused on safe, effective, long-term outcomes.